当院の成人矯正が選ばれる理由
- 1
矯正専門のベテラン歯科医師による施術が受けられる

矯正治療は歯科治療の中でも専門性が特に高い分野の1つです。
しかしながら、歯科医師であれば資格の上では誰でも施術可能となっております。
そのため、歯科医師の診査診断能力や技術不足により、
矯正治療を行ったのに治っていないことも多くあります。当院では、診査、診断から治療に至るまで、
一貫して矯正専門のドクターが行うことで治療のクオリティを担保しております。 - 2
目立ちにくい矯正装置使用

以前の矯正治療に用いる器具は金属製のものばかりで、つけると非常に目立ってしまいました。そのため成人で矯正治療を行う人は少ない傾向がありました。
しかし、治療の器具や方法は進化し、ワイヤー矯正でも目立ちにくいものが出てきました。近年では、患者様の口腔内の健康と審美への関心の高まりもあり、成人での矯正治療は非常に一般的なものになっております。当院では、成人矯正では
全ての症例でセラミックブラケット&ホワイトワイヤーを採用し、
少しでも患者様に見た目上のストレスがないようにしております。 - 3
高水準の治療を適正価格で

矯正の費用は、症例により大きく差が出てしまい、治療費の総額がわかりにくいことが多く、患者様の治療開始の妨げになっているとの声を多くいただきました。
そのため、当院では治療費の最大値を提示しております。
当院では矯正治療にかかる金額は最も難しい症例でも¥660,000(税込)となっております。
前歯のみの部分矯正の費用の最大値は¥440,000(税込)
月々の調整料は¥5,500(税込)となっております。 - 4
矯正以外の治療も当院で完結

矯正のみを行っている歯科医院の場合、抜歯は大学病院、虫歯治療は他の歯科医院など、いろいろな歯科医院に通院しなければならず、患者様には負担になることも多いです。
当院は総合歯科であるため、矯正治療前の虫歯や歯周病の治療から、矯正後の予防歯科まですべてを完結出来ます。そうすることで、医療情報を共有でき、治療や予防のクオリティも上がると考えております。
- 5
相談料無料

矯正治療を初めて受ける方はいろいろな不安が多くあると思います。
当院ではまずは矯正医に無料相談していただきます。
費用や、期間はもちろん、最終の仕上がりや経過のご説明などを出来るだけ丁寧にさせていただきます。
抜歯をしたくない、いつまでに完了したいなどの要望もお聞かせください。 - 6
完全個室の診療室

プライバシーを重視し当院は全室完全個室になっております。
他の患者様を気にせず、ご自身の悩みもなんでもお話しください。
- 重度の矯正にも対応
- マウスピース矯正に比べて期間が短い

ワイヤー矯正
- ほとんど全ての症例に適応できる
- 取り外し不要で効果が確実
- 期間が短期間
- 抜歯・非抜歯どちらにも対応可能
- ドクターの経験や技術の差が出やすい
- マウスピース矯正に比べ目立つ
治療の流れ
- 1

矯正無料相談
全体的に診させていただいて、まずは患者様の希望を伺います。
いつまでに完了したい、抜歯をしたくない、こういう歯並びになりたい等 ご要望を聞かせてください。 - 2

精密検査
虫歯や歯周病の診査、親知らずの有無などを診断していきます。 - 3

治療計画
資料をもとに、骨格や歯の状態、抜歯の有無・治療方法・治療期間・治療費・治療における注意事項など、わかりやすく丁寧にご説明いたします。 
- 4

矯正前の治療
必要に応じ、クリーニングや親知らず抜歯などの治療を行います。もちろん抜歯は必要最低限、可能な限り抜かない治療を心がけています。万が一必要な場合も当院で完結できます。 - 5

矯正治療の開始
ブラケットをつけていきます。注意事項などもご説明させていただきます。マウスピース矯正の場合はマウスピースを装着。 - 6

治療完了・保定期間の開始
保定装置を装着し、歯のあと戻りを防ぎ綺麗な歯並びを維持していきます。
こちらは歯の裏からつけます。 - 7

アフターメインテナンス
定期的な検診やクリーニングを行います。
症例
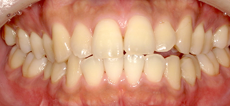
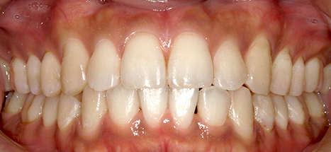
- 1
<費用> 抜歯:5,500円/本 調整料:5,500円/月 矯正:660,000円 リテーナー:33,000円
<主訴>歯並び悪く、咬み合わせも治したい
<改善>矯正後は歯並び、咬み合わせも改善し、快適な状態に

- 2
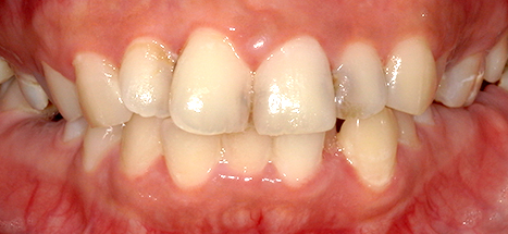
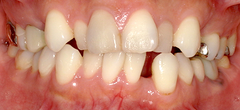
<費用> 抜歯:5,500円/本 調整料:5,500円/月 矯正:660,000円 リテーナー:33,000円
<主訴>歯並び悪く、磨きにくいため、虫歯がたくさんある
<改善>矯正と並行して虫歯治療も行った歯並びが改善し、磨き易くなったことで汚れがすくない清潔な状態を保てるようになった
BEFOREAFTER - 3
<費用> 抜歯:5,500円/本 調整料:5,500円/月 矯正:660,000円 リテーナー:33,000円
<主訴>歯並び悪く、見た目も改善したい
<改善>歯並びが綺麗になったことで、見た目、発音なども改善することが出来た
BEFOREAFTER
費用
- 矯正相談
- カウンセリング
- 無料
- 精密検査
- 正確な診断のため、慎重に検査いたします
- 無料
- 部分矯正
- 上下前歯6本のみの矯正
- 最大 ¥440,000
- 全体矯正
- 上下全体の矯正が必要な場合
- 最大 ¥660,000
- マウスピース矯正
- シュミレーション後に提示
- 月極調整料
- 1か月に1度の調整に掛かる費用
- ¥5,000
- 保定装置(リテーナー)
- 治療後の保定期間中に装着
- ¥33,000
(低金利デンタルローン)
※デンタルローンを使用するので、未成年はご両親の保証が必要になります。
部分矯正 最大¥440,000
- 費用支払い回数
- 月々 ¥6,10084回払い
- 月々 ¥9,00054回払い
- 月々 ¥15,00030回払い
- 月々 ¥19,00024回払い
全体矯正 最大¥660,000
- 費用支払い回数
- 月々 ¥9,10084回払い
- 月々 ¥12,00060回払い
- 月々 ¥15,00048回払い
- 月々 ¥19,00036回払い
- 月々 ¥29,00024回払い

院長 松本 康佑 Kosuke Matsumoto
費用、期間がかかる矯正治療を受けることは、患者様にとって非常に大きな決断になると思います。
矯正治療の失敗の代償は大きく、医院選びがその成否を決定することになります。
当院では矯正専門のドクターによる治療を受けていただけます。
また、各分野のドクター同士が情報共有し、ディスカッションを重ねることで、いかなる状態でも最善策を模索します。
矯正治療を受けた患者様のほとんどは、『もっと早くやれば良かった』とおっしゃられます。
1度ご相談にいらしてください。
当院が患者様の悩みの解決の一助になれることを心より願っております。
略歴
2013 年 日本歯科大学 卒業
2013 年~ 2016 年 東名デンタルクリニック 勤務
2016 年~ 2019 年 デンタルオフィス等々力 勤務
2020 年 トラストデンタルクリニック大門浜松町 開業資格・所属
・ストローマン サーティフィケート 取得
・ノーベルバイオケア サーティフィケート 取得
・皆川インプラントアカデミーマスターコース 受講
・日本補綴歯科学会・日本口腔インプラント学会・顎咬合学会
矯正歯科担当 諏訪 美貴 Miki Suwa昭和大学歯科病院 卒業
矯正歯科認定医 取得矯正治療のみに従事してきた、矯正のスペシャリスト。
歯科医師の経験が非常に大事な分野なので、経験と知識を活かした治療で患者様の悩みを解決します。
二人の子供を育て上げた人生経験もあるので、歯の悩み以外でも相談してください♪
口腔外科担当 藤本 泰広 Yasuhiro Fujimoto日本歯科大学 卒業
女子医科大学病院歯科口腔外科助教
インフェクションコントロールドクター
日本有病者歯科医療学会 認定医
日本口腔外科学会 認定医
Q&A
- Q1. 歯を抜きたくないのですが可能ですか?
- A1. 歯列を広げる、歯を奥に送るなど方法はございます。方法により期間や仕上がりが異なるので、希望も含め相談しましょう。
- Q2. 痛みはありますか?
- A2. 入れた直後や、調整後は数日痛む可能性がございますが、お子様も治療しておりますので、ほとんどの患者様は問題なく治療可能です。
- Q3. かかる費用が追加になることはありますか?
- A3. 当院では最初に総額をお見積りいたします。治療法が変更になったとしても追加費用は掛かりません。
- Q4. 顔はかわりますか?
- A4. それ自体を期待して行うものではございませんが、歯を中に入れることで顔が小さく見えるようになることがあります。
- Q5. 歯を抜くのや、虫歯の治療もやってもらえますか?
- A5. 矯正治療は矯正医が行いますが、当院自体は総合歯科です。親知らずの抜歯、矯正の為の抜歯、虫歯の治療など、全ての処置を当院で完結出来ます。
- Q6. セカンドオピニオンは可能ですか?
- A6. もちろん可能です。矯正医によっても治療方針は異なる場合がございます。方法、期間、費用やドクターとの相性も含めトータルで検討するのが良いかと思います。
- Q7. 矯正治療を考えていますが、目立ちますか?
- A7. 裏側矯正、マウスピース矯正は目立たないと思います。表側でも透明やホワイトの装置により目立ちにくいよう心掛けております。





